Cabinet d'orthodontie du Dr MARTEL Fabienne
Orthodontiste à SAINT JEAN DE VEDAS
Cabinet d'orthodontie du Dr MARTEL Fabienne
Orthodontiste à SAINT JEAN DE VEDAS

107 Esplanade de l'Ortet
34430 SAINT DE VEDAS

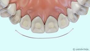
Fil de contention


video-play-icon

Articles similaires

Création par Webdentiste

Connexion